Műtéti fogszabályozás esettanulmányok

Valódi állcsonti eltérések. Valódi megoldások.

Vannak esetek, amikor a harapási probléma nem a fogaknál kezdődik,
hanem az állcsontok helyzetében és arányaiban.

Ilyenkor a hagyományos fogszabályozás önmagában nem ad tartós megoldást.
A háttérben állcsonti eltérés áll, amely műtéti fogszabályozással kezelhető.

Az alábbi esettanulmányok bemutatják, hogyan korrigálhatók
ezek az eltérések szakmailag helyesen, hosszú távon stabilan.

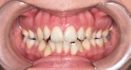
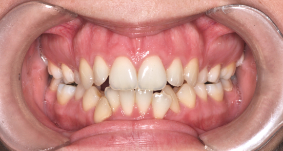
Állcsonti aszimmetria kezelése

Állcsonti aszimmetria kezelése
Állcsonti aszimmetria kezelése
Előtte fogsor - Állcsonti aszimmetria kezelése
Állcsonti aszimmetria kezelése

Ebben az esetben az arc és a harapás nem egy középvonal mentén működött.
Az alsó állkapocs oldalirányú eltérése instabil harapást és aszimmetrikus mosolyt okozott.

A probléma nem fogállási, hanem állcsonti eredetű volt.

A kezelést fogszabályozással készítettük elő, majd
mindkét állkapocs műtéti áthelyezésével szimmetrizáltuk a harapást és az arc középvonalát.
.
Eredmény: kiegyensúlyozott harapás, rendezett arcarányok, természetes mosoly.

Ínymosoly műtéti megoldása

Ínymosoly műtéti megoldása
Ínymosoly műtéti megoldása
Előtte fogsor - Ínymosoly műtéti megoldása​
Utána fogsor - Ínymosoly műtéti megoldása​
Ínymosoly műtéti megoldása

Az ínymosoly ebben az esetben nem pusztán esztétikai kérdés volt.

A felső állcsont függőleges túlnövekedése és az alsó állkapocs helyzete együtt bontotta meg az arányokat.
A kezelést fogszabályozással készítettük elő, majd kétállcsontos állcsontműtétet végeztünk.

A felső állcsont pozíciójának módosításával csökkent az ínyláthatóság,
az alsó állkapocs korrekciója pedig stabil harapást eredményezett.

Eredmény: kevesebb íny, harmonikusabb arcprofil, hosszú távon stabil funkció..

Nyitott harapás kezelése állcsontműtéttel

Nyitott harapás kezelése állcsontműtéttel
Nyitott harapás kezelése állcsontműtéttel
Előtte fogsor - Nyitott harapás kezelése állcsontműtéttel
Utána fogsor - Nyitott harapás kezelése állcsontműtéttel
Nyitott harapás kezelése állcsontműtéttel

A kiindulási állapotban elöl nem jött létre fogérintkezés.

A nyitott harapás hátterében állcsonti pozíciós eltérés állt, nem a fogak helyzete.

Fogszabályozással előkészítettük a műtétet, majd állcsonti korrekciót végeztünk.
A felső állcsont helyzetének módosításával zártuk az elülső harapást,
az alsó állkapcsot pedig funkcionálisan stabil pozícióba állítottuk.

Eredmény: zárt, terhelhető harapás, javuló rágófunkció, stabil ízületi helyzet.

Bulldogharapás + nyitott harapás kombinált kezelése
Bulldogharapás + nyitott harapás kombinált kezelése
Bulldogharapás + nyitott harapás kombinált kezelése
Előtte fogsor - Bulldogharapás + nyitott harapás kombinált kezelése
Utána fogsor - Bulldogharapás + nyitott harapás kombinált kezelése
Bulldogharapás + nyitott harapás kombinált kezelése

Ebben az esetben két harapási rendellenesség volt jelen egyszerre.
Az alsó állkapocs előrehelyezett volt (bulldogharapás),
miközben elöl nyitott harapás alakult ki.

Ez állcsonti probléma volt, amely fogszabályozással önmagában nem kezelhető.
A kezelést fogszabályozással készítettük elő, majd az alsó állkapcsot kontrolláltan
hátramozgattuk,
a felső állkapcsot pedig előre és lefelé pozícionáltuk.

Eredmény: záró harapás, működő rágás, harmonikus arcprofil.

Prognathiás eltérés – komplex állcsonti korrekció

Prognathiás eltérés – komplex állcsonti korrekció​
Prognathiás eltérés – komplex állcsonti korrekció​
Prognathiás eltérés – komplex állcsonti korrekció - előtte
Prognathiás eltérés – komplex állcsonti korrekció - utána
Prognathiás eltérés – komplex állcsonti korrekció​

A harapási eltérés oka az állcsontok aránytalansága volt, nem a fogak helyzete.

A kezelést fogszabályozással készítettük elő, a fogívek rendezésével és a műtéti pozíciók
precíz beállításával. Ezt követően komplex állcsonti műtétet végeztünk.

Az alsó állkapocs hátramozgatása mellett
a felső állcsont korrekciójára és stabil csontos rögzítésére is sor került,
hogy a harapás és az arc arányai egységes rendszerként álljanak helyre.

Eredmény: kiegyensúlyozott harapás, stabil fogérintkezések,
természetesebb arcprofil — nem csak esztétikailag, hanem funkcionálisan is korrigálva.

Műtéti fogszabályozás

A műtéti fogszabályozás összetett, több lépcsős kezelés,
amelyben a pontos diagnózis, a fogszabályozás és az állcsontműtét egységet alkot.

A teljes folyamat részletes bemutatását itt találja:
https://fogszabalyzas.hu/muteti-fogszabalyozas/

Időpontfoglalás – szakértői konzultáció

Nem minden harapási eltérés igényel műtétet.
De ami igen, azt időben fel kell ismerni.

Ha szeretné megtudni,

Húsvéti nyitvatartás