„Miért nőnek ennyire furcsán a fogai a gyereknek?”
(És mit lehet most tenni, hogy ne kelljen később műteni.)
A legtöbb szülőnél van egy pillanat. Egy megérzés. Egy gyanú.
Valami nem stimmel. A fogak kuszán nőnek. A beszéd nem tiszta.
A gyermek szájon át veszi a levegőt.
És jönnek a klasszikus válaszok:
„Majd kinövi.”
„Mi is ilyenek voltunk.”
„Rárér később.”
Csakhogy nem. Mert ami ma csak furcsa, az holnap már fájdalmas.
Ami most még csak eltérés, az később rendellenesség.
Nem csak esztétikai gond
A szabálytalan fogazat
nem divatprobléma.
Ez nem csak esztétika.
Ez funkció.
- Torz beszéd
- Hibás rágás
- Állkapocsproblémák
-
Szájlégzés miatti testtartási és
nyelési eltérések - És igen: emésztési panaszok is
Amit most egyszerűen lehetne kezelni,
azt később csak nehezen.
Vagy egyáltalán nem.
Mi állhat a hátérben?
- Genetika (Ha a családi fotóalbum tele van kusza mosolyokkal, nem véletlen, hogy itt tartunk.)
- Ajak- és szájpadhasadék
- Fogcsírahiány, rendellenes fogzás
- Ujjszopás. Cumi. Cumisüveg. (Igen, még mindig.)
- Nyelvlökéses nyelés – amikor a nyelv pont azt csinálja, amit nem kéne..
- Tejfog baleset – kiesik, mielőtt eljönne az ideje
Tünetek, amik nem véletlenek
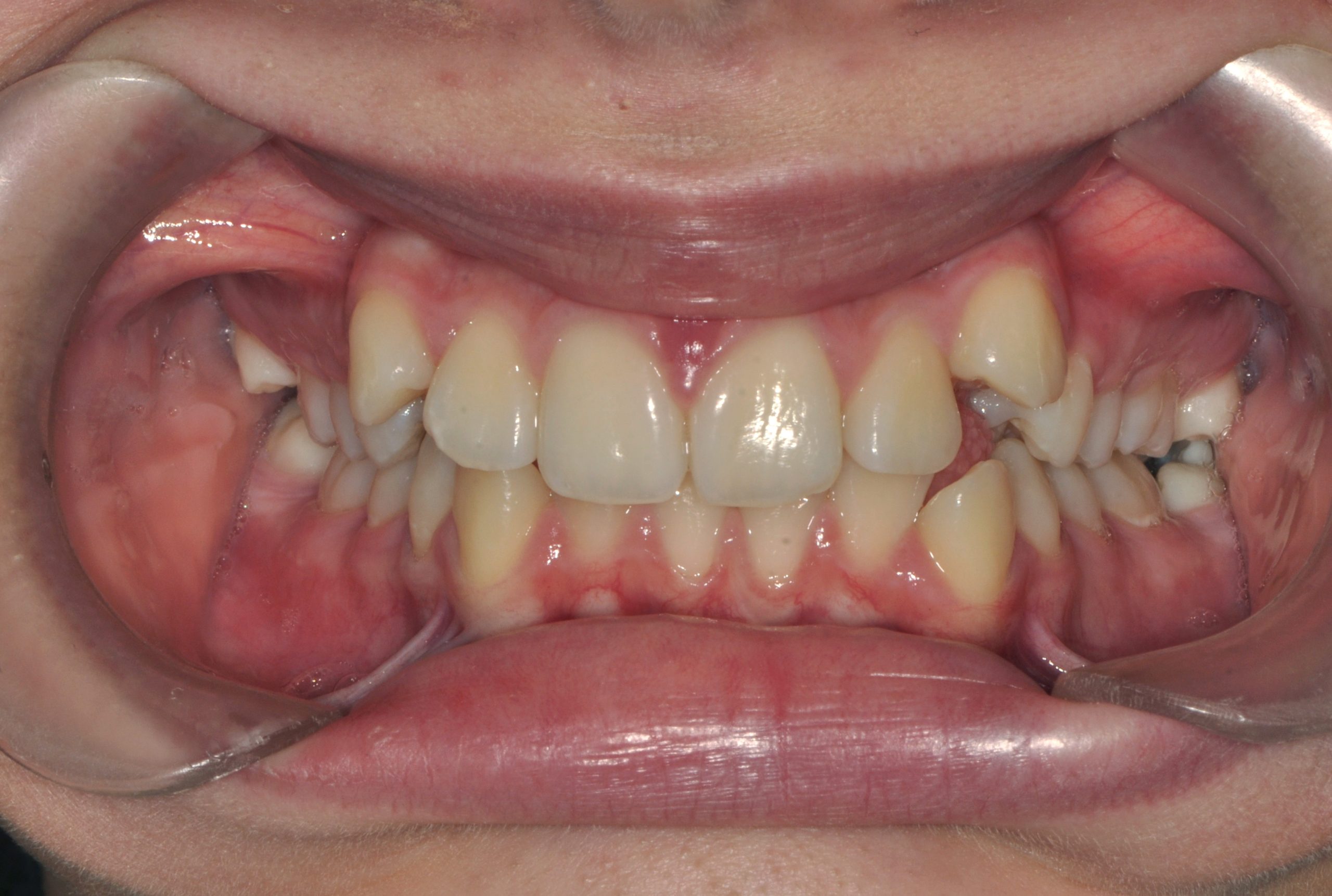
- Kuszán növő, előre vagy hátra dőlő fogak
- Rés a metszők között
- Selypítés, torz artikuláció
- Nyitott száj, ajakgyulladás
- Rágás közbeni fájdalom, harapási kellemetlenség
- Fogínyvérzés, szuvasodás, gyakori panaszok
Ha csak egyet is tapasztal: mutassa meg nekünk.
Mert az idő itt kulcs.
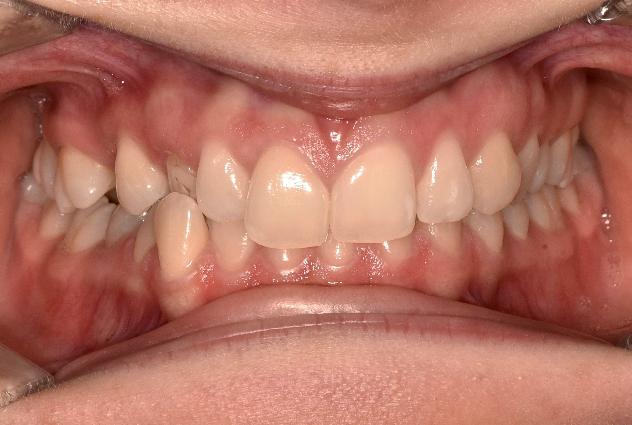
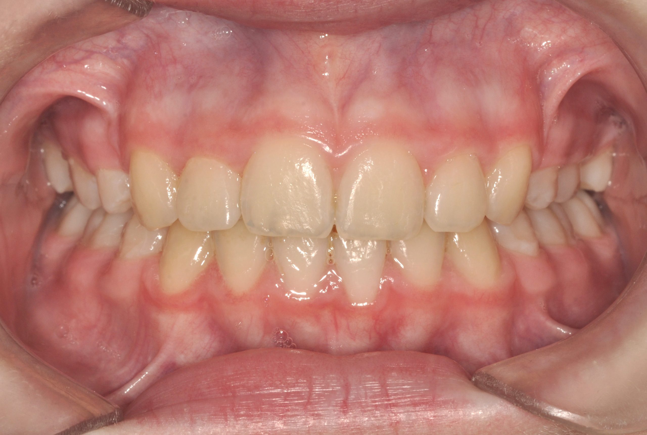
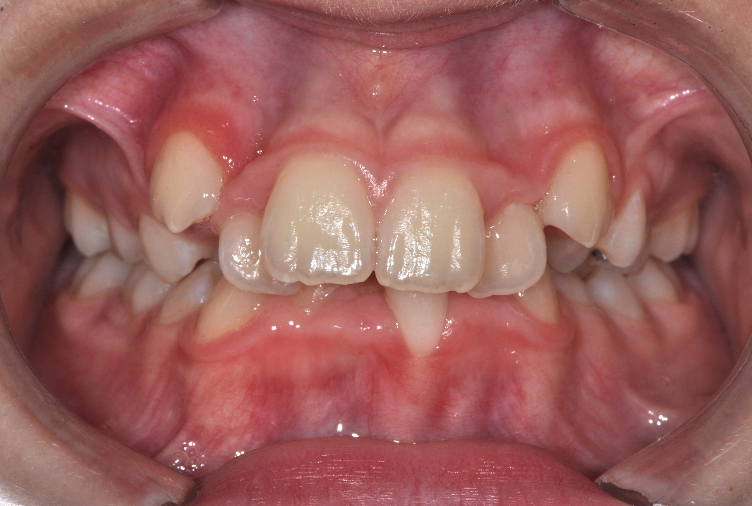
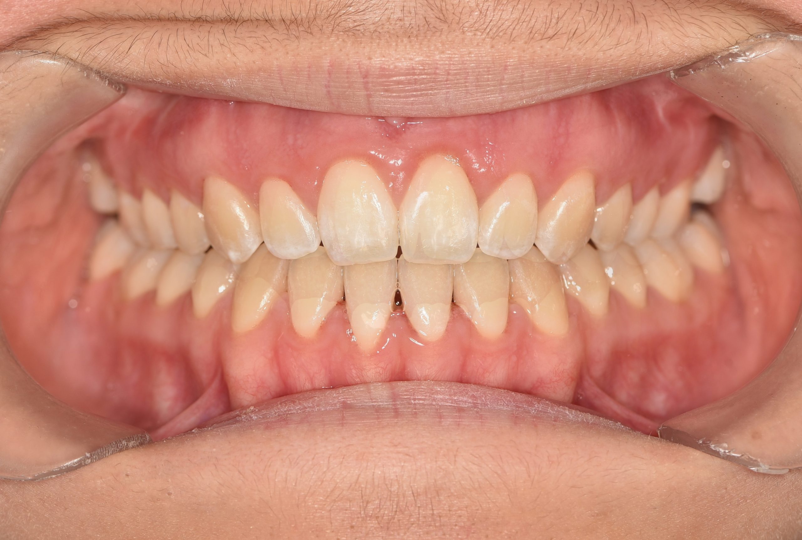
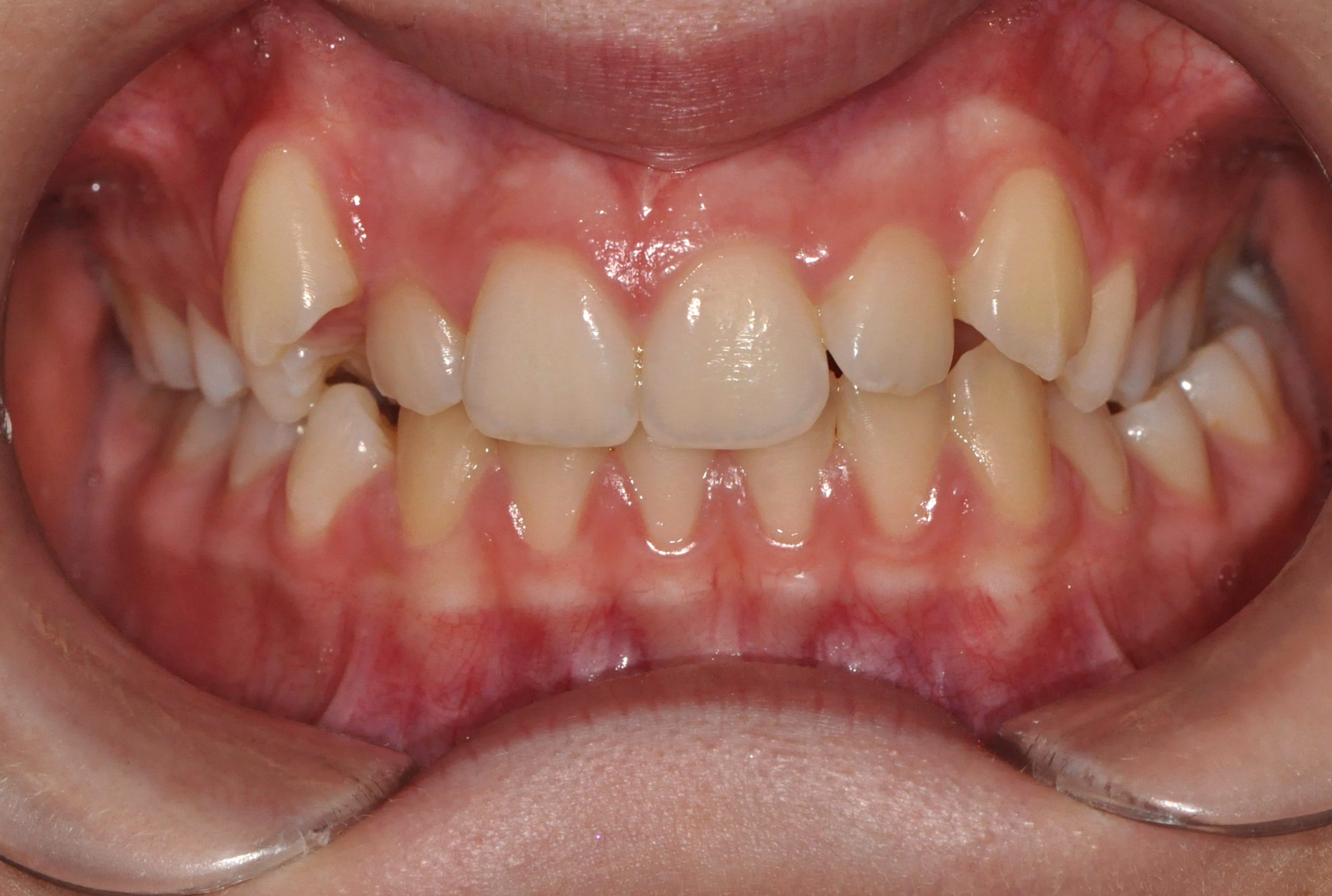
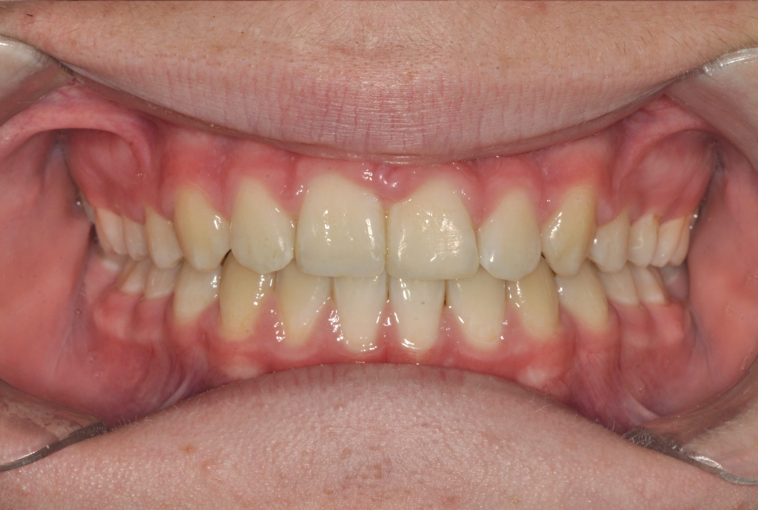
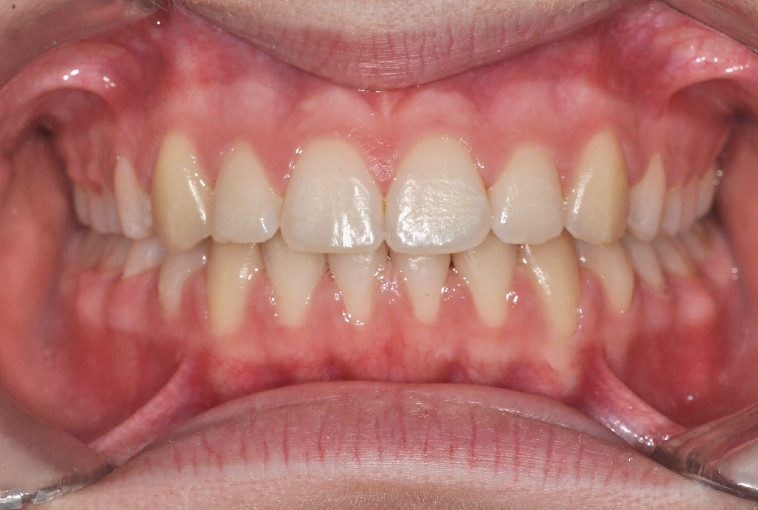
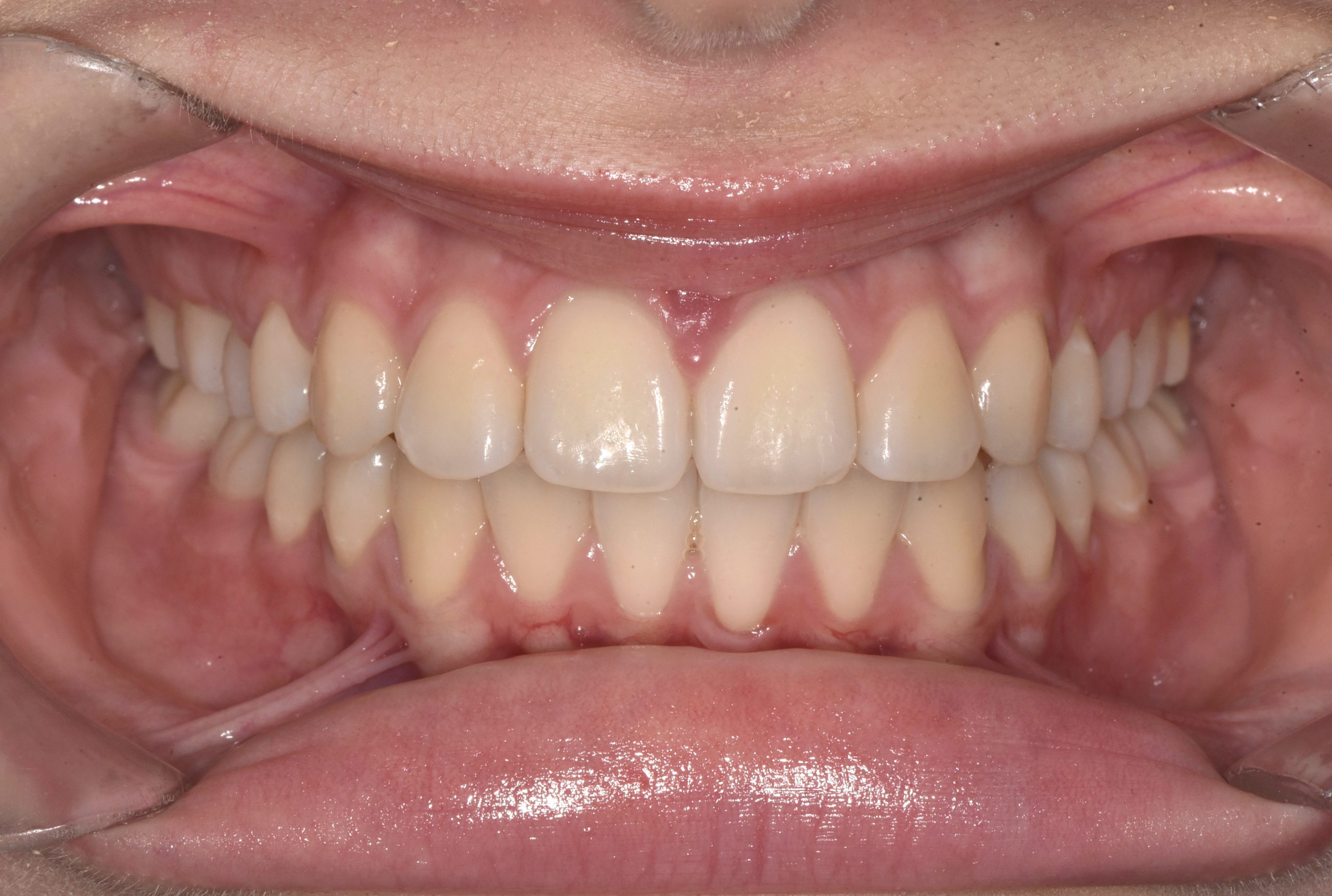
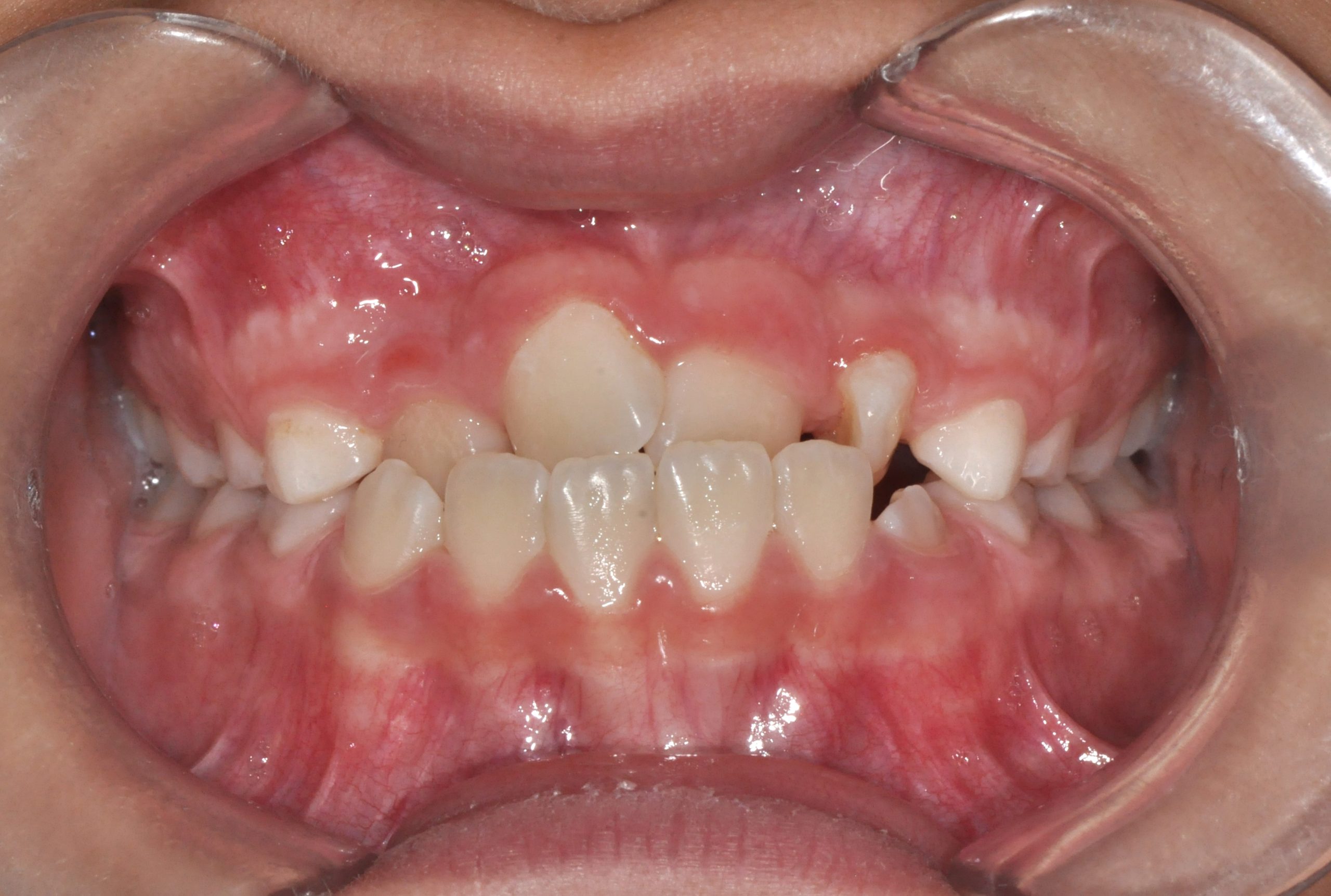
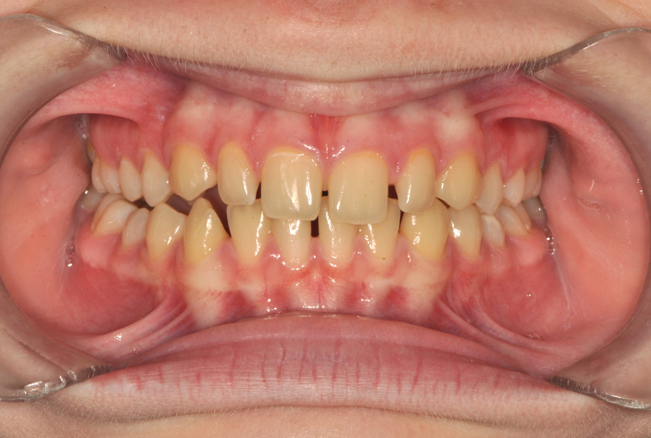
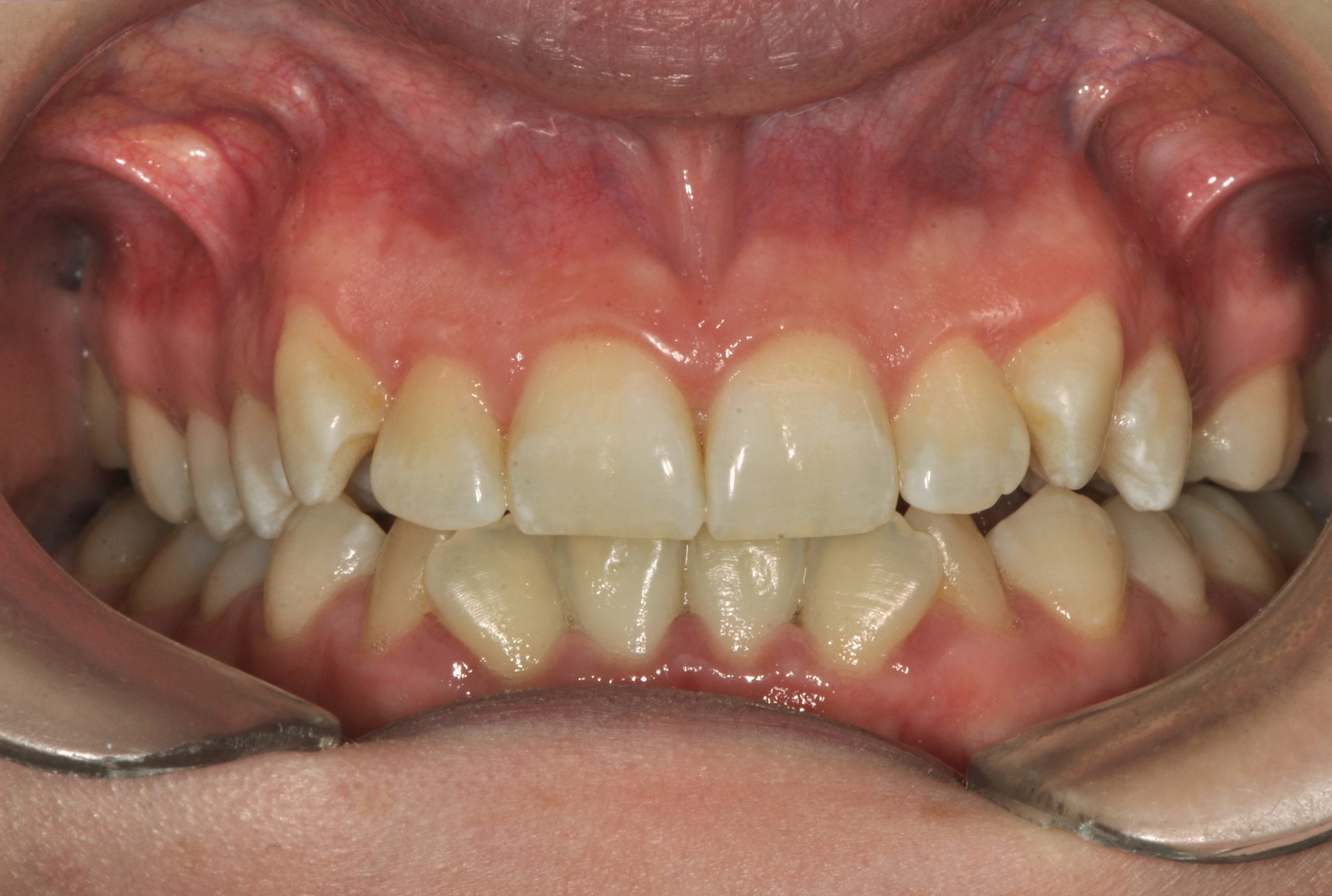
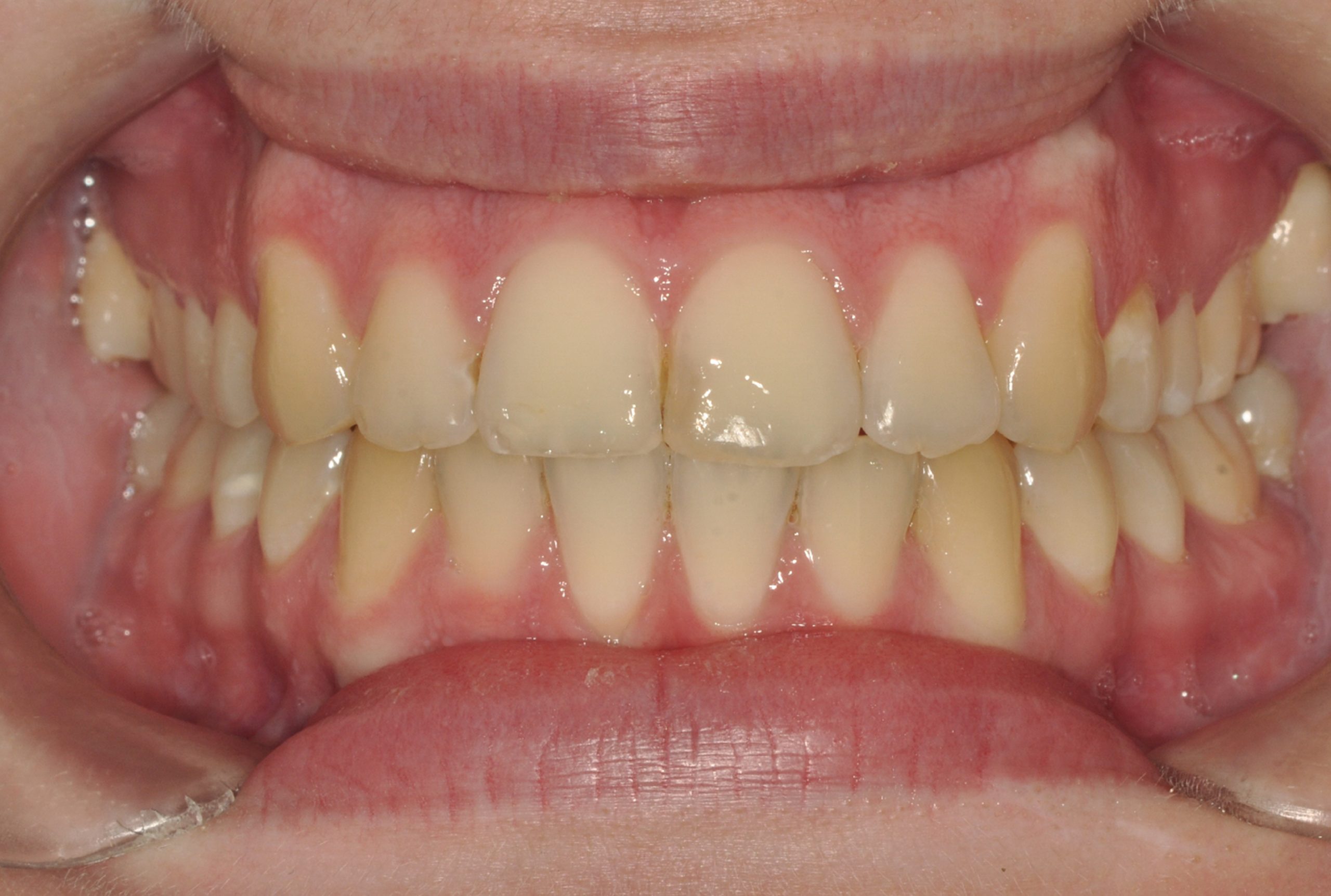
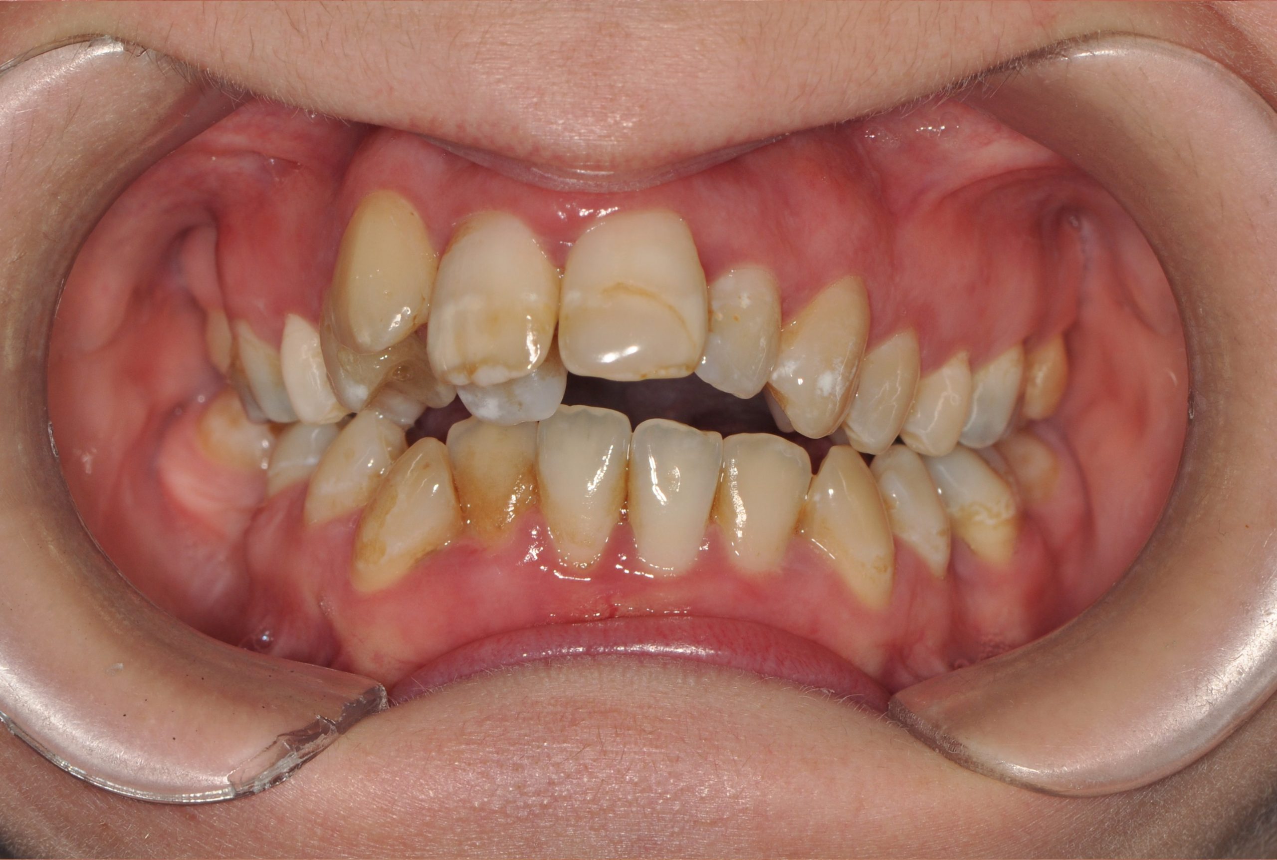
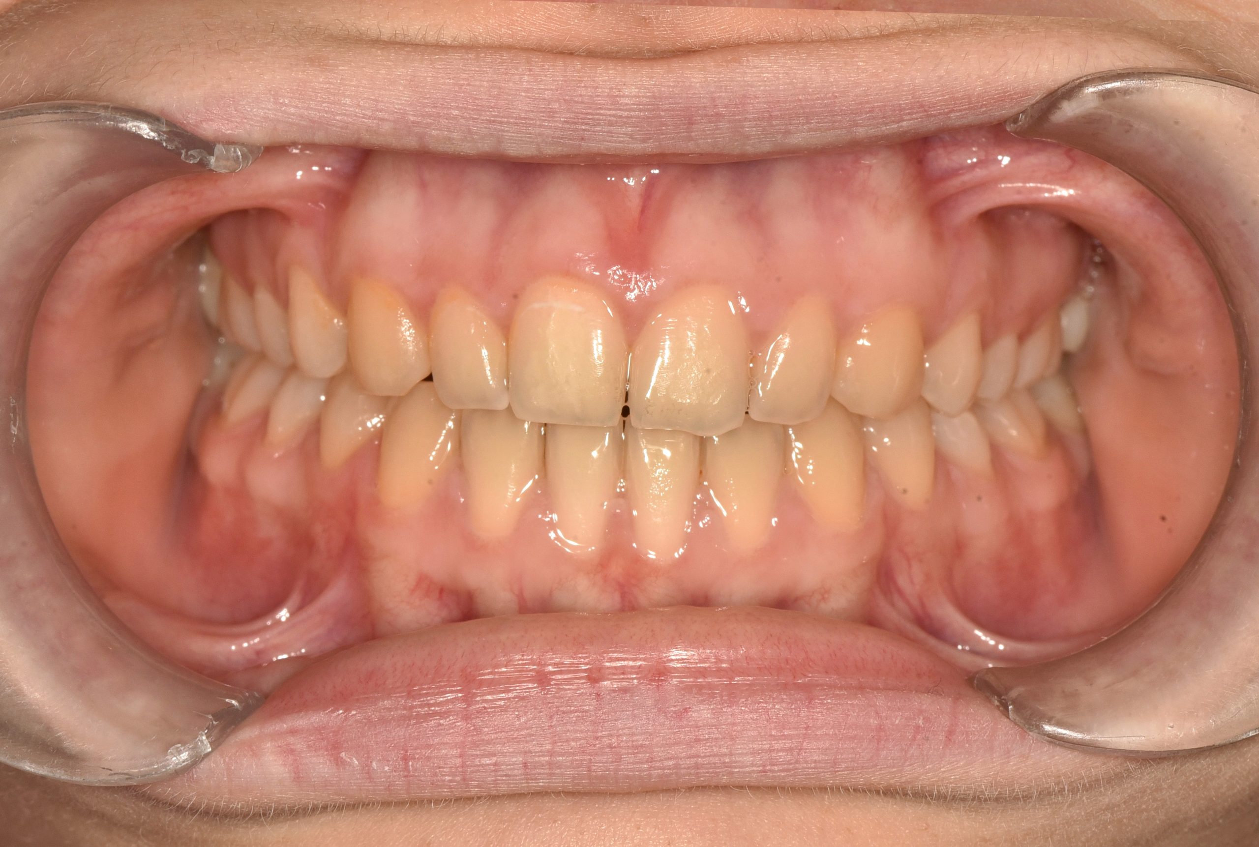
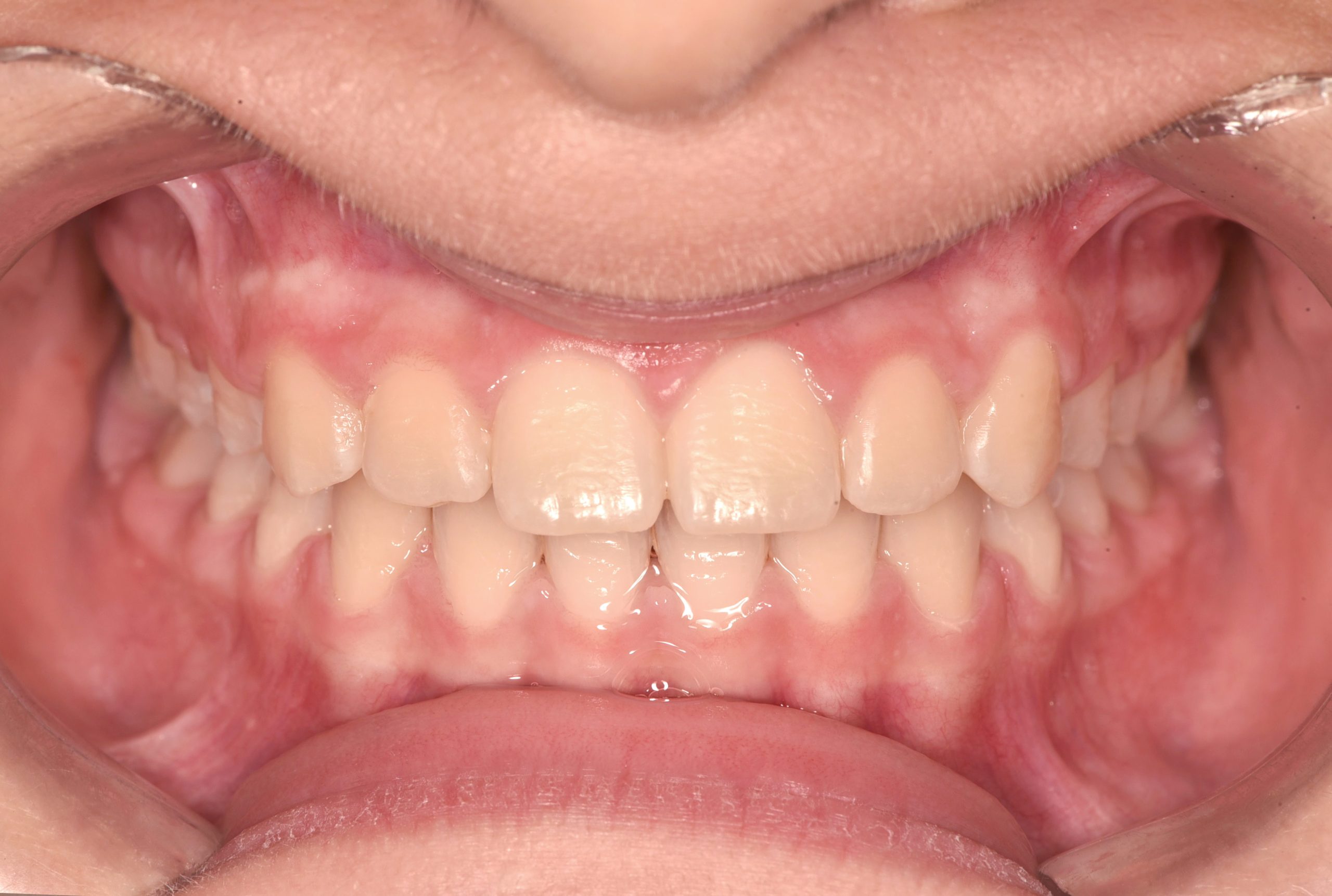
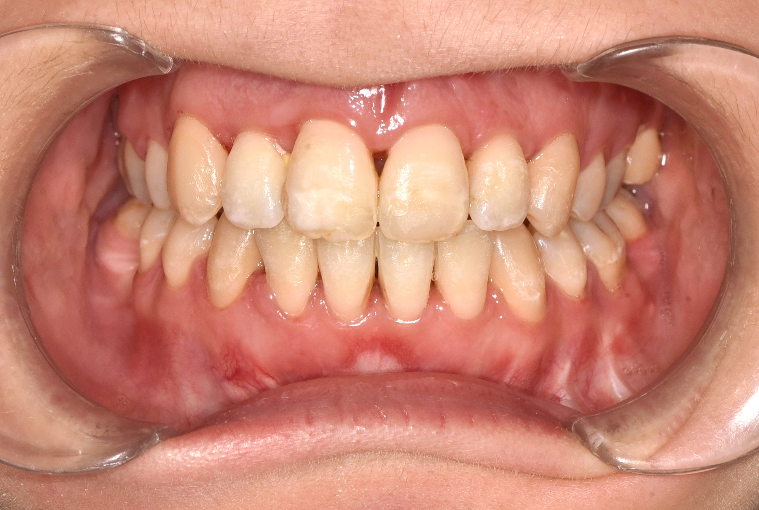
Leggyakoribb rendellenességek –
előtte-utána képekkel
A fogszabályozás centrumunkban nem ígéret. Bizonyíték.
Minden rendellenességhez egy csúszka – ahol a különbség nem csak látványos.
Megdöbbentő is.
Aszimmetria – amikor
a mosoly eltolja az egész arcot
Az egyik oldal máshogy zár, mint a másik.
A felső és az alsó metszők nem egy vonalban találkoznak. Kicsinek tűnik a különbség.
A tükörben alig észrevehető.
De idővel nem csak a fogsor mozdul el.
Az állkapocs is. A rágás. A mimika.
Végül: az egész arc szimmetriája torzul.
Ez nem csak fogas kérdés.
Ez arckarakter kérdés.
És ha nem avatkozunk közbe időben,
felnőttkorban már csak nehezen – vagy egyáltalán nem – korrigálható.
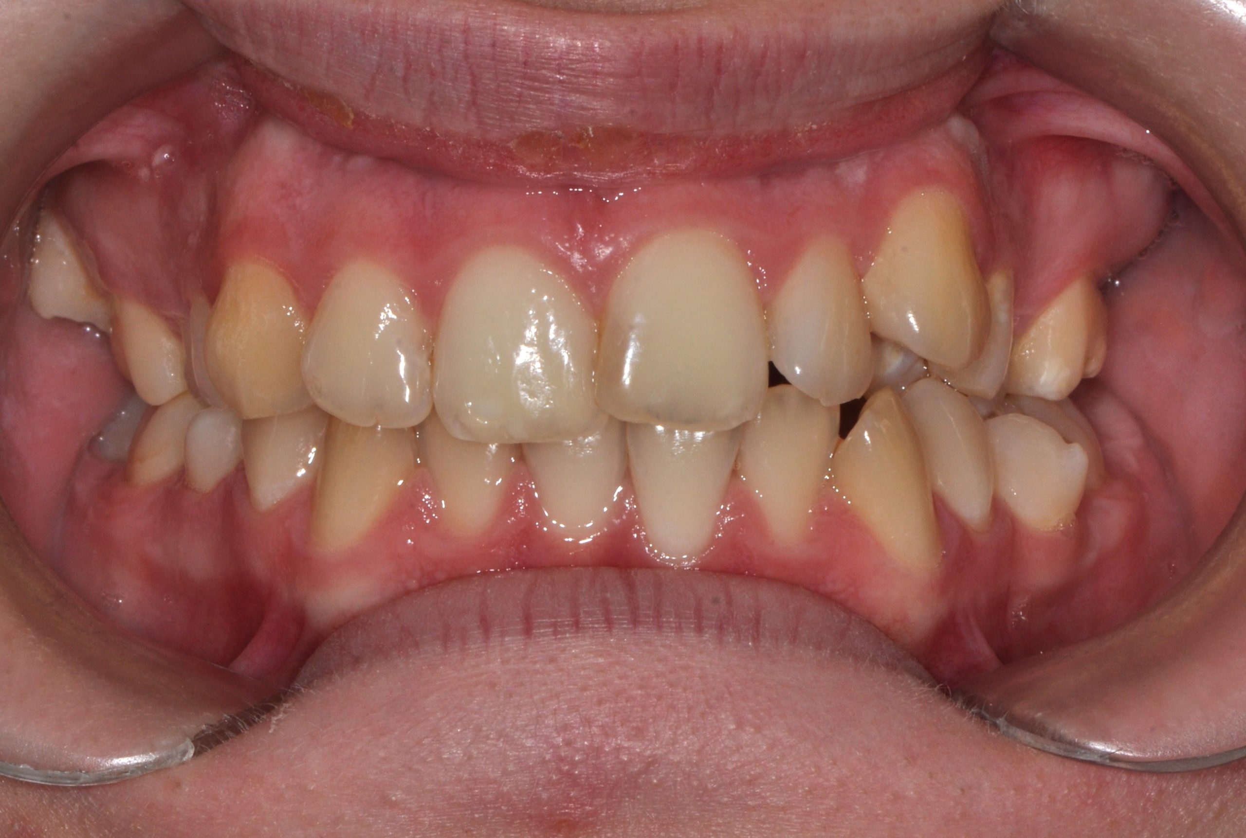
Fogtorlódás – amikor a fogak már
nem férnek el egymás mellett
Ez az a pillanat, amikor a tejfog még ott van,
a maradó már jönne – és nincs hova. Fogak egymás hegyén-hátán, elöl, hátul, ferdén, kifordulva. Nem rendeződik. Nem áll be.
Nem lesz „magától” szebb.
Gyakran még ki sem esett a tejfog, de már bújik alóla az utód.
És jön is a riadalom: „Ez most így marad?”
– Nem. Ha időben lépünk, nem marad így.
De ha nem lépünk: a maradó fog bent rekedhet, oldalra fordulhat, vagy el sem indul.
Ez már nem „fogváltás”.
Ez egy fogtorlódási lavina – amit ha most nem állítunk meg,
később csak foghúzással lehet.
Rés a fogak között –
nem mindig „cuki”
Sok szülő ilyenkor még mosolyog:
„Aranyos, hogy lukas a mosolya.”
De ez a rés több, mint bájos kis hézag.
Legtöbbször a felső metszőknél jelenik meg.
És ha túl nagy, már nem esztétikai kérdés.
Hanem beszédhiba. Selypítés.
Önbizalomvesztés. Kihagyott hangok
az iskolai olvasásban.
A háttérben gyakran fogcsírahiány
vagy fogzási zavar áll.
A fog egyszerűen nem nő ki. Vagy nincs is ott.
És ez nem fog „összezárni”.
Ezt nem oldja meg a növés.
Csak a kezelés.
Kiálló metszőfogak –
amikor a száj már nem zár
Van az a mosoly, ahol a fogak előrébb járnak, mint az ajkak. És van, amikor hátra húzódnak, szinte elbújva.
Mindkettő ugyanoda vezet:
- rossz harapás,
- torz rágás,
- és állandó szájlégzés.
Amikor az ajkak nem érnek össze, a levegő nem ott jön, ahol kellene. Száraz száj. Kipirosodott ajkak. Gyulladás. És mögötte: egy állkapocs, ami nem úgy zár, ahogy kéne.
Ez az a típusú rendellenesség, ami nem csak ront
a képen – ront a működésen is.
És nem nő ki belőle.
Ebbe bele kell nyúlni – időben
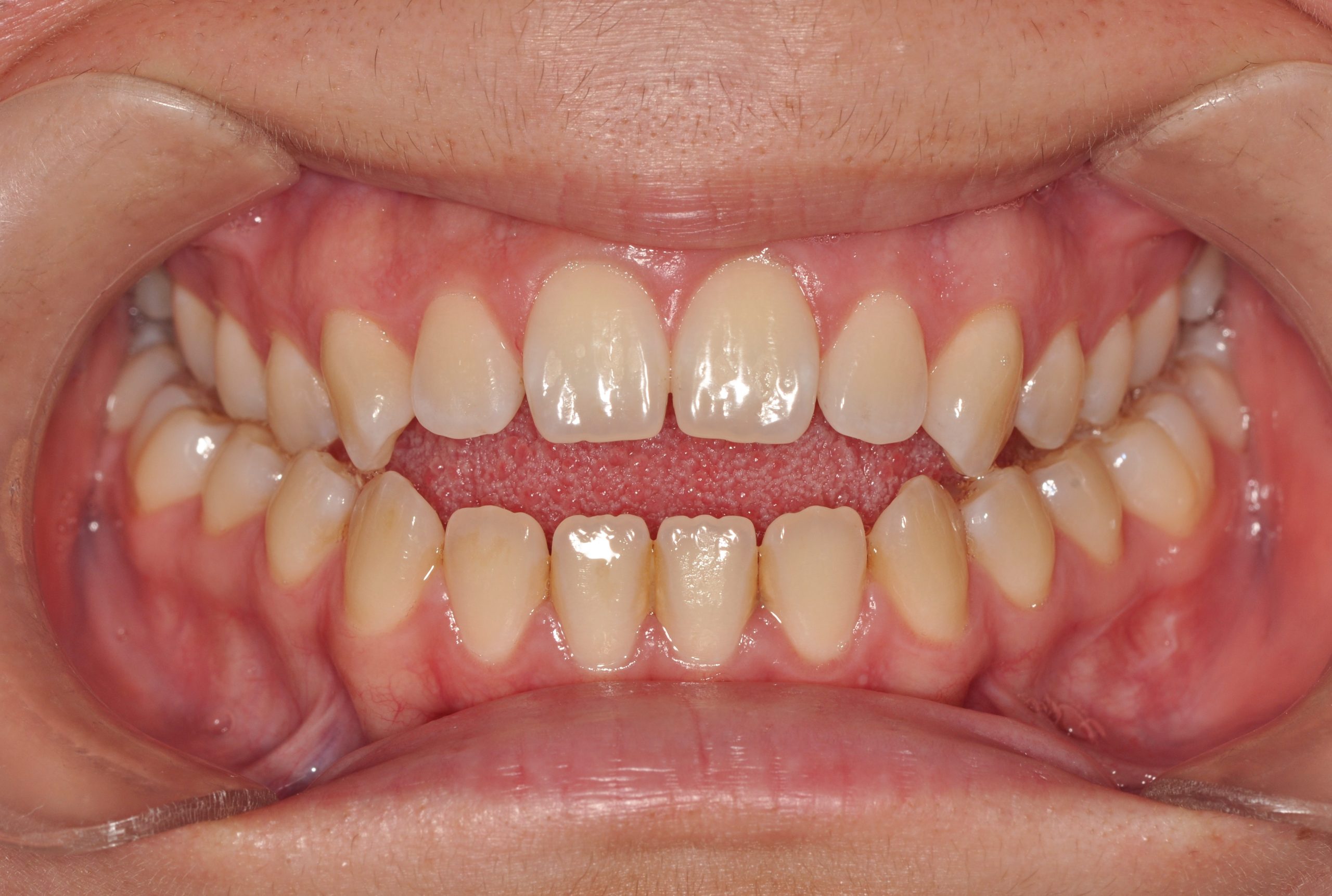
Mélyharapás – amikor a felső fogak
elnyelik az alsókat
Ez az egyik leggyakoribb, mégis legtöbbször alábecsült rendellenesség. A szülők ilyenkor csak
annyit látnak: szépen zár a mosolya.
De ami valójában történik:
A felső metszők túlfedik az alsókat.
És az alsók nem állnak meg.
Belemarnak az ínybe.
Nap mint nap. Rágáskor. Beszéd közben.
Ez nem harapás. Ez szövetroncsolás.
A következmény:
- ínygyulladás,
- fogágy leépülés,
- és a fogágybetegségek egyik leggyakoribb kiindulópontja.
Ha a gyermek mosolyánál nem látni az alsó metszőket: akkor már régen mélyharapásról beszélünk.
És ha most nem lépünk,
az íny és a csont fogja megfizetni az árát.
Keresztharapás – amikor
az alsó fogak megelőzik a felsőket
Ez az a pont, ahol az anatómia összekeveri
a sorrendet. Az alsó fogak nem alul maradnak,
hanem előre zárnak a felsőkre. Ez lehet csak
egyetlen fog. Vagy az egész első rész. Vagy
a teljes hátsó sor.
A szülők ilyenkor kérdezik:
„Ez normális?”
Nem. Ez nem harapás. Ez ütközés.
És minél tovább marad így, annál jobban
torzul az íny, a csont, az arcforma.
Előbb fogínygyulladás. Aztán csontleépülés.
A legsúlyosabb forma? Bulldogharapás.
Ez már nem játék.
Ez már harapáskorrekció – minél előbb.
Szűk felső állcsont – amikor nincs elég hely…
semminek
Ez nem csak fogtorlódás.
Ez egy egész szűkülő rendszer:
- a fogak nem férnek el,
- a szájpad nem kerek, hanem mély és V-alakú,
- az orrjáratok beszűkülnek,
- a nyelv nem tud hová feküdni.
És innen jön minden más:
- rendellenes nyelés,
- nyitott szájjal alvás,
- beszédhiba,
- sőt: légzési zavar is.
Nyitottharapás – amikor
a fogsor zárna… de nem tud
A száj becsukódik.
A fogak nem.
Két metsző között rés tátong — akkor is,
ha a gyerek „összezárja” a fogait.
Nem tud rendesen harapni.
Nem tud elharapni egy almát.
Csak oldalról, csak csócsálva.
A háttérben legtöbbször rossz nyelvfunkció áll.
Vagy ujjszopás. Vagy mindkettő.
Ez nem „még nem nőtt össze”.
Ez már nem fog összenőni.
Ez nyitottharapás.
És ha nem kezeljük, az étkezéstől a beszédig
mindent megborít.
Mit csinálunk mi máshogy?
Nálunk nem az a kérdés, milyen készüléket
tegyünk fel. Hanem: kinek segítünk vele.
- Kell-e most kezelni?
- Várhatunk még?
- Hogyan nő az állkapocs?
-
Mi a legegyszerűbb, leghatékonyabb
megoldás?
Ez nem eszköz-alapú gondolkodás.
Ez preventív-interceptív szemlélet.
Ahol a gyerek nem páciens, hanem gyerek.
És nem egy ember dolgozik rajta.
Egy csapat.
Fogszabályozó szakorvos. Fogorvos. Szájsebész. Logopédus.
Ha héj kell, megoldjuk. Ha trauma után kell helyreállítás, van emberünk.
Ha a beszéd fejlesztéséhez logopédus kell – már hívjuk is.
Nálunk minden összekapcsolódik. És mindenki tudja, mi a dolga.
Mikor érdemes jönni?
- Ha a fogak torlódnak
- Ha ferdén nőnek
- Ha a száj mindig nyitva
- Ha nem tud rendesen harapni vagy rágni
- Ha furcsán ejt bizonyos hangokat
- Ha rendszeresen gyulladt az ajka vagy ínye
Vagy ha csak annyit érez:
„Nem tudom, de valami nem oké.”
A legjobb időben lépni.
És ha most mégse kell: akkor majd figyelünk.
És ott leszünk, amikor eljön az idő.
és mutatjuk, merre tovább